Tomografia Computadorizada: Fundamentos, Evolução e Tecnologias Avançadas

Prof. Esp. Eduardo Felix
Agosto 2025

Introdução

Modern CT Scanner in Clinical Setting

Tomógrafo computadorizado de última geração em ambiente clínico. Fonte: Unsplash

A Tomografia Computadorizada (TC) é uma das tecnologias mais transformadoras na medicina diagnóstica, permitindo imagens detalhadas do corpo humano com alta precisão. Como Sócrates nos ensinou, “Sei que nada sei!”, esta aula busca expandir o conhecimento sobre a TC, abordando sua história, evolução tecnológica, fundamentos físicos, parâmetros técnicos e as mais recentes inovações, como a Tomografia com Contagem de Fótons, Inteligência Artificial e Tomografia Espectral. Este material é projetado para fornecer uma base sólida para profissionais e estudantes da área de radiologia.

História da Tomografia Computadorizada

First EMI CT Scanner

Primeiro scanner de TC da EMI, introduzido em 1972. Fonte: Wikimedia Commons

Godfrey Hounsfield Portrait

Godfrey Hounsfield, pioneiro da tomografia computadorizada. Fonte: Wikimedia Commons

A TC foi introduzida em 1972, marcando um marco na imagem médica. Desenvolvida por Allan M. Cormack (físico norte-americano) e Godfrey N. Hounsfield (engenheiro inglês), a tecnologia evoluiu por várias gerações, cada uma aprimorando a velocidade, resolução e eficiência dos exames.

  • 1962: Introdução do termo “Tomografia” com a Tomografia Linear, precursora da TC moderna.
  • 1972: Lançamento do primeiro scanner de TC comercial pela EMI, com Hounsfield liderando o desenvolvimento.
  • Década de 1980: Desenvolvimento da TC Ultrafast, utilizando feixes de elétrons para maior rapidez.
  • Década de 1990: Introdução da TC Helicoidal, permitindo varreduras contínuas.
  • Final dos anos 1990: Surgimento da TC Multislice, revolucionando a capacidade de aquisição simultânea de múltiplos cortes.

Fundamentos Físicos da TC

X-ray Attenuation

Interação dos raios X com a matéria, base da TC. Fonte: Wikimedia Commons

X-ray Attenuation in Tissues

Atenuação de raios X em diferentes tecidos do corpo humano. Fonte: Wikimedia Commons

A TC opera com base na atenuação de raios X ao atravessar tecidos do corpo, captada por detectores e reconstruída matematicamente em imagens. A equação fundamental é:

I = I₀ e-μx

onde I é a intensidade do feixe após atravessar o material, I₀ é a intensidade inicial, μ é o coeficiente de atenuação linear e x é a espessura do material. A reconstrução das imagens utiliza algoritmos como a Transformada de Radon e a Retroprojeção Filtrada.

Evolução das Gerações da TC

CT Generations Diagram

Comparação das gerações de TC, destacando a evolução dos sistemas. Fonte: Wikimedia Commons

A evolução da TC é categorizada em gerações, cada uma marcada por avanços em detectores, feixes e métodos de aquisição.

1ª Geração

First Generation CT

Esquema de um scanner de TC de 1ª geração. Fonte: Wikimedia Commons

  • Características: Feixe de raios X em lápis (pencil beam) com um único detector.
  • Tempo de Aquisição: Aproximadamente 4,5 minutos por corte, devido ao movimento de translação-rotação.
  • Limitações: Baixa eficiência e alta dose de radiação por exame.

2ª Geração

Second Generation CT

Esquema de um scanner de TC de 2ª geração. Fonte: Wikimedia Commons

  • Características: Feixe em leque (fan beam) com 5 a 50 detectores.
  • Tempo de Aquisição: Reduzido significativamente devido ao maior número de detectores e menor número de projeções.
  • Vantagens: Maior rapidez e leve melhoria na qualidade de imagem.

3ª Geração

Third Generation CT

Esquema de um scanner de TC de 3ª geração. Fonte: Wikimedia Commons

  • Características: Feixe em leque amplo com 200 a 1000 detectores.
  • Tempo de Aquisição: Reduzido para segundos por varredura, graças ao aumento na cobertura de detectores.
  • Vantagens: Melhor resolução espacial e menor tempo de exame.

4ª Geração

Fourth Generation CT

Esquema de um scanner de TC de 4ª geração. Fonte: Wikimedia Commons

  • Características: Detectores dispostos em anel fixo, com o tubo de raios X rotando.
  • Vantagens: Redução de artefatos de movimento e maior eficiência na aquisição de dados.

TC Helicoidal

Helical CT Diagram

Diagrama da TC Helicoidal, mostrando a aquisição em espiral. Fonte: Wikimedia Commons

  • Características: Movimento contínuo da mesa e rotação do tubo, permitindo aquisição em espiral.
  • Reconstrução: Interpolação de projeções ao longo do eixo z, com espessura de corte definida pelo colimador.
  • Aplicações: Ideal para angiografias e exames que requerem contraste dinâmico.

TC Multislice

Multislice CT Scanner

Scanner de TC Multislice moderno. Fonte: Wikimedia Commons

  • Características: Aquisição simultânea de múltiplos cortes (até 320 por rotação em equipamentos modernos).
  • Vantagens: Alta resolução temporal e espacial, ideal para exames cardíacos e de perfusão.

Parâmetros Técnicos da TC

CT Control Panel

Painel de controle de um tomógrafo, exibindo parâmetros técnicos. Fonte: Unsplash

A qualidade da imagem e a segurança do paciente dependem de ajustes precisos nos parâmetros técnicos.

  • Filtros: Reduzem radiação espalhada e ajustam a energia do feixe para otimizar o contraste.
  • Fatores Elétricos:
    • Tensão (kV): Controla a penetração dos raios X (ex.: 80–140 kV).
    • Corrente (mA): Determina a intensidade do feixe, afetando a dose e o ruído da imagem.
  • Espessura de Corte: Varia de 1 a 10 mm, dependendo do fabricante e do tipo de exame (ex.: cortes finos para ossos, cortes grossos para pulmões).
  • Incremento de Mesa: Varia de 0 a 30 mm, ajustando a sobreposição entre cortes para maior continuidade.
  • Pitch: Definido como:
    Pitch = Movimento da mesa (mm/s) / Colimação (mm)
    Valores típicos variam de 0,5 a 2,0, influenciando a dose de radiação e a cobertura anatômica.

Considerações na TC Helicoidal

Helical CT Scan

Imagem de uma varredura helicoidal, destacando a continuidade da aquisição. Fonte: Wikimedia Commons

A TC Helicoidal é amplamente utilizada devido à sua eficiência em exames dinâmicos. Pontos críticos incluem:

  • Reconstrução de Imagem: Utiliza interpolação de projeções para reconstruir imagens em qualquer nível, mantendo a espessura do colimador.
  • Tempo de Exame: Essencial para aplicações com meio de contraste, garantindo fluxo uniforme pelo volume anatômico.
  • Pitch: Um pitch baixo (<1) aumenta a resolução, mas eleva a dose; um pitch alto (>1) reduz a dose, mas pode comprometer a qualidade.

Dose de Radiação e Segurança

Radiation Dose Chart

Gráfico comparativo de doses de radiação em exames de TC. Fonte: Wikimedia Commons

A TC envolve exposição à radiação ionizante, exigindo otimização para minimizar riscos. A dose é influenciada por:

  • Técnicas de Modulação de Dose: Ajuste automático de mA com base na densidade do tecido.
  • Reconstrução Iterativa: Algoritmos modernos reduzem o ruído, permitindo menor dose sem perda de qualidade.
  • Protocolos Específicos: Ajustados por idade, peso e região anatômica do paciente.

Aplicações Clínicas

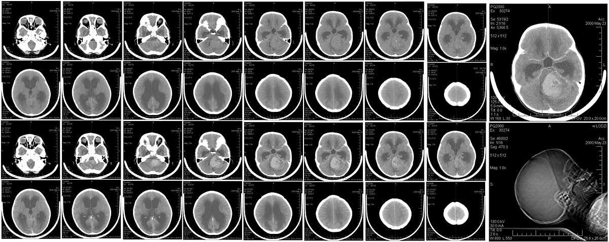
CT Brain Scan

Imagem de TC do cérebro, usada em neurologia. Fonte: Wikimedia Commons

CT Coronary Angiogram

Angio-TC coronariana, destacando a visualização de vasos cardíacos. Fonte: Unsplash

A TC é utilizada em diversas áreas, incluindo:

  • Neurologia: Detecção de AVC, tumores e hemorragias.
  • Cardiologia: Angio-TC para avaliação de artérias coronárias.
  • Oncologia: Estadiamento de tumores e acompanhamento terapêutico.
  • Traumatologia: Avaliação de fraturas complexas.

Tecnologias Avançadas em TC

Advanced CT Scanner

Tomógrafo avançado com tecnologias modernas. Fonte: Wikimedia Commons

Para manter o material atualizado com as inovações mais recentes, esta seção aborda três avanços significativos: Tomografia com Contagem de Fótons, Inteligência Artificial na TC e Tomografia Espectral.

Tomografia com Contagem de Fótons (Photon-Counting CT)

Photon-Counting Detector

Detector de contagem de fótons usado em PCCT. Fonte: Wikimedia Commons

A Tomografia Computadorizada com Contagem de Fótons (PCCT) é uma tecnologia revolucionária que utiliza detectores que contam cada fóton individual de raios X, em vez de medir a energia total, como nos sistemas convencionais.

  • Tecnologia: Utiliza detectores de materiais como telureto de cádmio (CdTe), telureto de cádmio e zinco (CZT) ou silício (Si), que registram sinais elétricos diretamente. Esses detectores permitem a análise espectral, distinguindo diferentes níveis de energia dos raios X.
  • Vantagens:
    • Alta resolução espacial (até 200 µm).
    • Redução significativa da dose de radiação, ideal para pacientes vulneráveis.
    • Informações espectrais para decomposição de materiais (ex.: iodo vs. cálcio).
    • Menor ruído eletrônico, apenas ruído de Poisson.
  • Aplicações Clínicas: Melhora a visualização em exames de tórax (ex.: fibrose pulmonar), ossos temporais e imagens de múltiplos materiais em oncologia e cardiologia.
  • Desafios: Incluem compartilhamento de cargas, K-escape e pile-up de pulsos em altas taxas de fluxo.
  • Estado Atual: O primeiro sistema clínico, NAEOTOM Alpha da Siemens Healthineers, foi lançado em 2021. Protótipos estão sendo avaliados para uso clínico mais amplo.
Resumo das Características da PCCT
CaracterísticaDescrição
DetectoresCdTe, CZT ou Si, com alta voltagem (800–1000 V).
Resolução EspacialAté 200 µm, ideal para detalhes finos.
Dose de RadiaçãoReduzida, minimizando riscos para pacientes.
Informação EspectralPermite decomposição de materiais (ex.: iodo vs. cálcio).
DesafiosCompartilhamento de cargas, K-escape, pile-up de pulsos.
AplicaçõesOncologia, cardiologia, neurologia, imagem multi-material.

Inteligência Artificial na TC

AI in Medical Imaging

Segmentação de órgãos por inteligência artificial em imagens de TC. Fonte: Unsplash

A Inteligência Artificial (AI) está transformando a TC ao otimizar processos de aquisição, reconstrução e análise de imagens.

  • Aplicações:
    • Otimização de Dose: Algoritmos de AI ajustam automaticamente parâmetros como kV e mA, reduzindo a dose de radiação sem comprometer a qualidade da imagem.
    • Reconstrução de Imagens: Algoritmos de Deep Learning Reconstruction (DLR) reduzem ruído e artefatos, permitindo imagens de alta qualidade com doses menores.
    • Análise Automatizada: AI auxilia na segmentação de órgãos, detecção de tumores e caracterização de patologias, como na identificação de aneurismas intracranianos ou lesões hepáticas.
    • Análise Preditiva: AI pode prever desfechos clínicos, como o risco cardiovascular, analisando imagens de TC.
  • Exemplos: O PixelShine da AlgoMedica melhora a qualidade de imagens em doses reduzidas, enquanto sistemas de AI para TC cardíaca avaliam a carga de placas ateroscleróticas.
  • Impacto: Aumenta a eficiência, reduz custos e melhora os resultados para os pacientes.
Aplicações da AI na TC
AplicaçãoDescrição
Otimização de DoseAjuste automático de kV e mA para reduzir radiação.
Reconstrução de ImagensAlgoritmos DLR reduzem ruído e artefatos.
Análise AutomatizadaSegmentação de órgãos, detecção de tumores e patologias.
Análise PreditivaPrevisão de desfechos clínicos, como risco cardiovascular.
ExemploPixelShine melhora imagens de baixa dose.

Tomografia Espectral

Spectral CT Imaging

Imagem de TC Espectral com diferenciação de materiais. Fonte: Wikimedia Commons

A Tomografia Espectral, também conhecida como Dual-Energy CT, utiliza dois espectros de energia de raios X para diferenciar materiais com base em suas características de atenuação.

  • Tecnologia: Pode ser baseada em fontes (ex.: alternância de kV) ou detectores (ex.: Philips Spectral CT), capturando informações espectrais em uma única varredura.
  • Benefícios:
    • Diferenciação de materiais, como iodo, cálcio e gordura.
    • Geração de imagens virtuais sem contraste (virtual non-contrast).
    • Realce de materiais específicos, como iodo em imagens vasculares.
  • Aplicações Clínicas: Oncologia (caracterização de tumores), imagem vascular (otimização de contraste) e caracterização tecidual.
  • Estado Atual: Sistemas como o Philips Spectral CT e o GE GSI Xtream são amplamente utilizados, com eventos educacionais como o Spectral CT Masterclass 2025 destacando sua relevância.

Conclusão

Medical Imaging Future

Visão do futuro da imagem médica com tecnologias avançadas. Fonte: Unsplash

A Tomografia Computadorizada é um pilar da medicina moderna, evoluindo de sistemas rudimentares para tecnologias avançadas como a TC Multislice, Photon-Counting CT, AI e Spectral CT. A compreensão de seus fundamentos técnicos, históricos e avanços recentes é essencial para sua aplicação eficaz. Como reflexão final: “Nem todos têm a mesma oportunidade. Pense no melhor, trabalhe pelo melhor e espere o melhor!” Continue aprofundando seus estudos para oferecer diagnósticos precisos e seguros.

Referências