Prof. Esp. Eduardo Felix
A tomografia computadorizada (TC) do tórax tem como objetivo principal auxiliar no diagnóstico preciso de diversas condições pulmonares e torácicas, complementando a radiografia convencional e outros métodos de imagem.
Importante: A TC oferece imagens detalhadas em cortes transversais, permitindo uma avaliação mais precisa das estruturas torácicas.
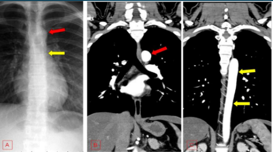
Outras condições: Além dessas, a TC do tórax também é útil para investigar embolia pulmonar, doenças da pleura, aneurismas da aorta, entre outras patologias.
A tomografia computadorizada oferece benefícios significativos no diagnóstico, mas também apresenta riscos que devem ser considerados e avaliados pelo médico antes da solicitação do exame.
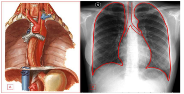
A compreensão da anatomia torácica é fundamental para a interpretação adequada das imagens de TC.
Órgãos principais da respiração, divididos em lobos (3 no direito, 2 no esquerdo)
Via aérea principal que se bifurca nos brônquios principais
Região de entrada e saída de estruturas vasculares e brônquios
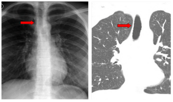
Espaço entre os pulmões contendo coração, grandes vasos, esôfago e traqueia
Visão geral da anatomia torácica (Fonte: Wikimedia Commons)
Visão geral da anatomia torácica (Fonte: Wikimedia Commons)
Visão geral da anatomia torácica (Fonte: Wikimedia Commons)
Visão geral da anatomia torácica (Fonte: Wikimedia Commons)
Visão geral da anatomia torácica (Fonte: Wikimedia Commons)
Visão geral da anatomia torácica (Fonte: Wikimedia Commons)
Visão geral da anatomia torácica (Fonte: Wikimedia Commons)
Visão geral da anatomia torácica (Fonte: Wikimedia Commons)
Varia de acordo com o fabricante, geralmente entre 1 a 10 mm. Cortes mais finos proporcionam maior resolução espacial.
Distância entre cortes consecutivos, variando de 0 a 30 mm. Quando o incremento é menor que a espessura do corte, há sobreposição de imagens.
Técnica onde o tubo de raios-X gira continuamente enquanto a mesa se move, permitindo aquisição mais rápida e reconstruções multiplanares de alta qualidade.
Vantagem da TC helicoidal: Redução do tempo de exame, crucial para estudos com contraste que exigem sincronização com o fluxo sanguíneo.
Visão geral do posicionamento para Tórax (Fonte: Wikimedia Commons)
Planejamento TC Tórax (Fonte: Wikimedia Commons)
Planejamento TC Tórax (Fonte: Wikimedia Commons)
As unidades Hounsfield quantificam a atenuação dos tecidos aos raios-X, permitindo sua caracterização:
| Órgão/Tecido | Valores Normais (HU) | Faixa Típica (HU) |
|---|---|---|
| Osso Cortical | >250 | >250 |
| Osso Trabecular | 130 ± 100 | 30-230 |
| Tireoide | 70 ± 10 | 60-80 |
| Fígado | 65 ± 5 | 45-75 |
| Músculo | 45 ± 5 | 35-50 |
| Baço | 45 ± 5 | 35-55 |
| Pâncreas | 40 ± 10 | 25-55 |
| Rins | 30 ± 10 | 20-40 |
| Gordura | -65 ± 10 | -80 a -100 |
| Água | 0 | 0 |
| Ar | -1000 | -1000 |
Nota: Os valores de atenuação podem variar dependendo da técnica de aquisição, uso de contraste e características individuais do paciente.
A tomografia computadorizada do tórax é uma ferramenta diagnóstica poderosa que revolucionou a avaliação das doenças torácicas. Seu uso adequado requer:
O avanço tecnológico contínuo na área de TC, incluindo técnicas de baixa dose e inteligência artificial, promete melhorar ainda mais a precisão diagnóstica enquanto minimiza os riscos para os pacientes.