Tomografia Computadorizada do Abdômen: Aspectos Gerais
O que é a TC de Abdômen?
A tomografia computadorizada do abdômen é um exame de imagem que utiliza raios-X para criar imagens detalhadas em cortes transversais das estruturas abdominais, permitindo avaliação precisa de órgãos, vasos e tecidos.
Vantagens: Alta resolução espacial, aquisição rápida, capacidade de reconstruções multiplanares e avaliação com contraste.
Indicações Principais
Dor abdominal
Avaliação de causa indeterminada
Traumas
Avaliação de lesões internas
Massas
Caracterização e estadiamento
Aneurismas
Avaliação da aorta abdominal
Infecções
Abscessos e processos inflamatórios
Doenças hepáticas
Esteatose, cirrose, tumores
Contraindicações
Gravidez: Especialmente no primeiro trimestre (risco de radiação ao feto)
Alergia ao contraste iodado: Em exames que necessitam de meio de contraste
Insuficiência renal grave: Risco de nefropatia induzida por contraste
Marcapasso: Em algumas situações específicas (avaliação individual)
Equipamento de TC (Fonte: Wikimedia Commons)
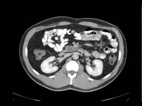
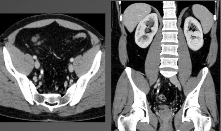
Anatomia do Abdômen na TC
Conhecimento anatômico detalhado é fundamental para a interpretação adequada das imagens de TC abdominal.
Órgãos Abdominais Principais
Fígado
Maior glândula do corpo, localizado no hipocôndrio direito
Pâncreas
Glândula mista localizada retroperitonealmente
Baço
Órgão linfoide localizado no hipocôndrio esquerdo
Rins
Órgãos pares localizados no retroperitônio
Estômago
Órgão digestivo localizado no epigástrio
Intestinos
Delgado e grosso (cólon)
Vasos Sanguíneos Principais
Aorta abdominal: Principal artéria do abdômen
Veia cava inferior: Principal veia do abdômen
Artérias renais: Vascularização dos rins
Veia porta: Drena sangue do trato gastrointestinal para o fígado
Veia esplênica: Drena sangue do baço
Visualização anatômica do abdômen em tomografia computadorizada (Fonte: Radiology Key)
TC Convencional vs. Helicoidal
TC Convencional
Aquisição corte a corte
Maior tempo de exame
Limitação em estudos dinâmicos
Menor qualidade em reconstruções 3D
Maior chance de artefatos por movimento
TC Helicoidal (Multidetectores)
Aquisição contínua em espiral
Tempo de exame reduzido
Ideal para estudos com contraste
Excelente qualidade em reconstruções 3D
Menor dose de radiação
Vantagem da TC Helicoidal Multidetectores: Permite aquisições mais rápidas, com melhor resolução temporal e espacial, essencial para estudos angiográficos e de perfusão.
Metodos de aquisição Simgle e Helicoidal (Fonte: Wikimedia Commons)
Metodos de aquisição Multi-slice (Fonte: Wikimedia Commons)
Parâmetros Técnicos da TC Abdominal
Espessura de Corte
Varia de acordo com o fabricante, geralmente entre 1 a 10 mm. Para estudos abdominais de rotina, cortes de 3-5 mm são frequentemente utilizados.
Incremento
Distância entre cortes consecutivos, variando de 0 a 30 mm. Incrementos menores que a espessura do corte proporcionam sobreposição de imagens, melhorando reconstruções multiplanares.
Volume Helicoidal
Na TC helicoidal, a espessura de corte pode variar de 0,5 a 10 mm, com incremento de reconstrução de 0 a 30 mm, permitindo aquisições volumétricas do abdômen.