Exame Contrastado da Hipofaringe e Esôfago

Técnicas, anatomia radiológica e principais achados patológicos

Visão Geral

O que é o exame?

O exame contrastado da hipofaringe e esôfago é um estudo radiológico dinâmico que avalia a anatomia e função das estruturas de deglutição utilizando meio de contraste radiopaco.

Exame contrastado de esôfago em andamento

Figura 1: Exame contrastado de esôfago sendo realizado com paciente em posição oblíqua

Estudo dinâmico Contraste radiopaco
Indicações
  • Disfagia (dificuldade de deglutição)
  • Odynofagia (dor ao deglutir)
  • Suspeita de corpo estranho
  • Avaliação de fístulas
  • Investigação de divertículos
  • Avaliação pré e pós-operatória
Contraindicações
  • Suspeita de perfuração esofágica (usar contraste hidrossolúvel)
  • Alergia grave ao contraste iodado
  • Pacientes com risco de aspiração grave
Contraste hidrossolúvel vs sulfato de bário

Figura 2: Comparação entre contraste hidrossolúvel (esquerda) e sulfato de bário (direita)

Técnica do Exame

Preparação do Paciente
  • Jejum: 4-6 horas para evitar aspiração
  • Orientação: Explicar todas as etapas do exame
  • Remoção: Próteses dentárias e objetos metálicos
  • Posicionamento: Em pé ou sentado conforme tolerância
Posicionamento do paciente

Posicionamento correto do paciente para a fase faríngea

Preparação do contraste

Preparação do contraste de bário para o exame

Meios de Contraste

Sulfato de Bário

  • Suspensão 100-250% peso/volume
  • Melhor detalhe da mucosa
  • Contraindicado em suspeita de perfuração
  • Pode causar impactação se aspirado

Contraste Iodado Hidrossolúvel

  • Usado em suspeita de perfuração
  • Menor detalhe da mucosa
  • Pode causar pneumonia química se aspirado
  • Ionicidade pode causar desconforto
Comparação de contrastes

Figura 3: Diferenças radiológicas entre os tipos de contraste

Protocolo de Aquisição
Fase Técnica Posicionamento
Fase Oral Filme ou vídeo com boca aberta Perfil verdadeiro
Fase Faríngea Gravação em vídeo (30fps) Perfil e AP
Fase Esofágica Imagens seriadas Oblíquas e AP
Manobras Valsalva, deglutição seca Varia conforme necessidade
Fase faríngea

Fase faríngea do exame em perfil

Fase esofágica

Fase esofágica em posição oblíqua

Anatomia Radiológica

Hipofaringe

Estruturas avaliadas durante a fase faríngea:

1. Seios Piriformes

Recessos laterais à laringe que acumulam contraste momentaneamente

2. Recesso Faringoepiglótico

Espaço entre a base da língua e a epiglote

3. Cricofaringe

Esfíncter superior do esôfago (nível C5-C6)

Anatomia da hipofaringe

Figura 4: Anatomia radiológica da hipofaringe em estudo contrastado

Anatomia Funcional
Esôfago

Segmentos e pontos de estreitamento fisiológico:

Segmento Nível Características
Cervical C6-T1 Relacionado à traqueia
Torácico T1-T10 Curso posterior ao coração
Abdominal T11 Atravessa o hiato diafragmático
Anatomia do esôfago

Figura 5: Anatomia radiológica do esôfago em estudo contrastado

Estreitamentos Fisiológicos

  1. Esfíncter esofágico superior (C6)
  2. Cruzamento com arco aórtico (T4)
  3. Passagem pelo brônquio principal esquerdo (T6)
  4. Hiato diafragmático (T10-T11)
Estreitamentos fisiológicos

Estreitamentos fisiológicos do esôfago

Esôfago em diferentes projeções

Esôfago em diferentes projeções radiológicas

Anatomia Topográfica

Achados Patológicos

Distúrbios Motores
Condição Achados Radiológicos Exemplo
Acalasia Dilatação esofágica, "bico de pássaro" Falta de relaxamento do EIE
Espasmo Difuso Contrações não propulsivas, "corkscrew" Deglutição descoordenada
Doença do Refluxo Irregularidade mucosa, estenose Esofagite péptica
Acalasia

Acalasia - típico aspecto de "bico de pássaro"

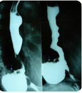
Espasmo difuso

Espasmo difuso - padrão "corkscrew"

Distúrbios Funcionais
Lesões Estruturais

Divertículos

  • Zenker: Hipofaringe póstero-lateral
  • Traction: Médio esôfago (fibrose)
  • Epifrênico: Próximo ao diafragma

Neoplasias

  • Carcinoma: Irregular, "shouldering"
  • Leiomioma: Defeito de preenchimento liso
  • Metástases: Extrínsecas ou infiltrativas
Divertículo de Zenker

Divertículo de Zenker - hipofaringe posterior

Carcinoma esofágico

Carcinoma esofágico - irregularidade mucosa

Leiomioma esofágico

Leiomioma - defeito de preenchimento liso

Alterações Estruturais
Emergências
Condição Achados Conduta
Perfuração Extravasamento de contraste Contraste hidrossolúvel
Corpo Estranho Defeito de preenchimento Evitar manobras forçadas
Fístula Passagem para vias aéreas Avaliação cirúrgica
Perfuração esofágica

Figura 6: Perfuração esofágica com extravasamento de contraste

Urgências