Tomografia de Crânio e Órbita
Domine as técnicas de aquisição e interpretação de exames tomográficos da região craniofacial
Anatomia Tomográfica
Anatomia do Crânio
A tomografia computadorizada do crânio permite a avaliação detalhada das estruturas ósseas e das partes moles intracranianas. O conhecimento da anatomia em cortes axiais, coronais e sagitais é fundamental para a correta interpretação dos exames.
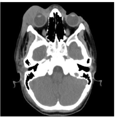
Figura 1: Cortes axiais de TC de crânio mostrando estruturas anatômicas principais
Fossa Anterior
- Lobo frontal
- Seio frontal
- Crista galli
- Asa menor do esfenoide
Fossa Média
- Lobo temporal
- Sela túrsica
- Seio esfenoidal
- Processos clinoides
Fossa Posterior
- Tronco encefálico
- Cerebelo
- IV ventrículo
- Forame magno
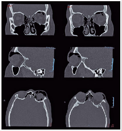
Anatomia da Órbita
A órbita é uma estrutura complexa formada por múltiplos ossos e contendo estruturas nobres como o globo ocular, músculos extraoculares e nervo óptico. A TC é o método de escolha para avaliação de trauma e patologias orbitárias.
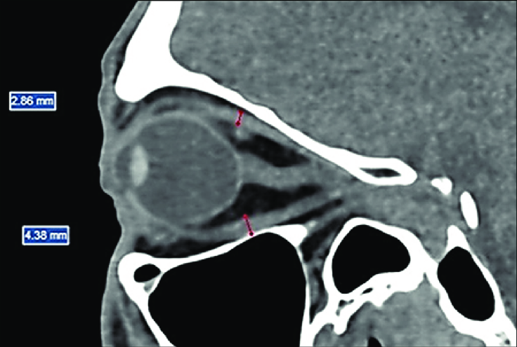
Figura 2: Corte sagital de TC de órbitas mostrando estruturas anatômicas
Paredes Ósseas
- Superior: frontal e asa menor do esfenoide
- Medial: etmoide e lacrimal
- Inferior: maxila e zigomático
- Lateral: zigomático e asa maior do esfenoide
Conteúdo Orbitário
- Globo ocular
- Músculos extraoculares
- Nervo óptico
- Gordura orbitária
Estruturas Vasculares
- Artéria oftálmica
- Veia oftálmica superior
- Seio cavernoso
Protocolos de Exame
TC de Crânio
O protocolo básico para TC de crânio varia conforme a indicação clínica e o tipo de equipamento disponível. Abaixo os parâmetros recomendados:
| Parâmetro | Single-Slice | Multi-Slice (64 canais) |
|---|---|---|
| kV | 120 | 100-120 |
| mA | 200-250 | 150-300 |
| Espessura de Corte | 5 mm | 0.5-0.625 mm |
| Pitch | 1.0 | 0.8-1.0 |
| Tempo de Rotação | 1.0 s | 0.5 s |
| Reconstruções | Axiais (5 mm) | Axiais (5 mm) e finas (1 mm) |
Orientações:
- Posicionar o paciente em decúbito dorsal com o plano orbitomeatal perpendicular à mesa
- Para estudo de fossa posterior, inclinar o gantry 20-30° em relação ao plano orbitomeatal
- Em trauma, incluir toda a coluna cervical até T1
- Para estudo vascular (angio-TC), usar contraste IV com aquisição na fase arterial (25-30s)
TC de Órbitas
O exame de órbitas requer cortes finos e reconstruções multiplanares para adequada avaliação das estruturas:
| Parâmetro | Single-Slice | Multi-Slice (64 canais) |
|---|---|---|
| kV | 120 | 100-120 |
| mA | 150-200 | 100-250 |
| Espessura de Corte | 2-3 mm | 0.5-0.6 mm |
| Pitch | 1.0 | 0.6-0.8 |
| Tempo de Rotação | 1.0 s | 0.5 s |
| Reconstruções | Axiais e coronais (2-3 mm) | Axiais, coronais e sagitais (1 mm) |
Orientações:
- Posicionar o paciente com o plano orbitomeatal paralelo à mesa
- Aquisição do ápice orbitário até o assoalho da órbita
- Reconstruções coronais oblíquas paralelas ao nervo óptico
- Para estudo de corpo estranho, usar algoritmo sem artefato de metal
- Em casos de trauma, avaliar sempre a integridade do canal óptico
Vídeo 1: Técnicas de posicionamento para TC de crânio e órbita
Patologias Comuns
Patologias do Crânio
Fratura de Crânio
Linhas radiolucentes com bordas irregulares, podem ser lineares, deprimidas ou cominutivas. Avaliar sempre a presença de ar intracraniano (pneumocefalia) ou sangramento associado.
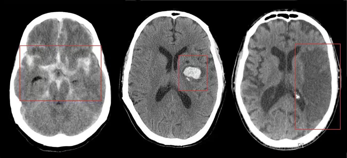
Acidente Vascular Cerebral (AVC)
Na fase aguda, a TC pode mostrar perda da diferenciação córtico-medular ou hiperdensidade arterial espontânea. Na fase subaguda, áreas hipodensas bem delimitadas.
Meningioma
Massa extra-axial com base de implantação em meninges, geralmente com realce homogêneo pelo contraste. Pode apresentar calcificações e hiperostose óssea adjacente.
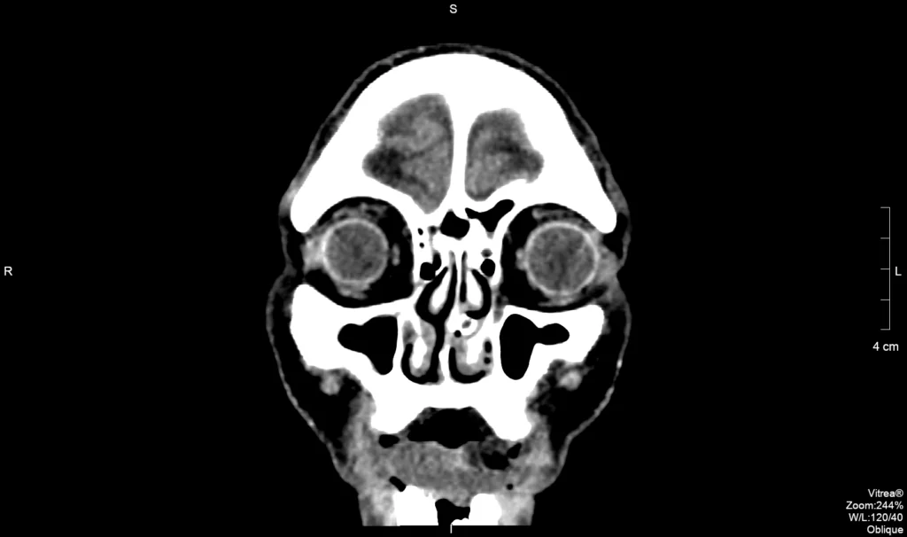
Patologias da Órbita
Fratura do Assoalho Orbitário
Descontinuidade do assoalho orbitário com herniação de conteúdo orbitário para o seio maxilar. A "lágrima" do músculo reto inferior é um achado característico.
Celulite Orbitária
Espessamento difuso da gordura orbitária com aumento de densidade, podendo haver abscesso subperiostal (coleção líquida com realce periférico pelo contraste).
Hemangioma Capilar
Tumor benigno mais comum da órbita em adultos, aparece como massa bem delimitada com realce intenso pelo contraste, frequentemente localizado no cone intraconal.
Técnicas Especiais
Angio-TC de Crânio
Técnica que permite a avaliação não invasiva dos vasos intracranianos. Requer administração de contraste iodado e timing preciso de aquisição.
Protocolo Recomendado:
- Aquisição helicoidal com cortes finos (0.5-0.6 mm)
- Injeção de contraste (60-80 mL) a 4-5 mL/s
- Bolus tracking na artéria carótida com threshold de 100 HU
- Reconstruções MIP (Maximum Intensity Projection) e VRT (Volume Rendering Technique)
TC de Órbitas com Reconstrução 3D
Técnica útil para avaliação de fraturas complexas e planejamento cirúrgico. Requer aquisição com cortes finos e reconstruções especiais.
Protocolo Recomendado:
- Aquisição isotrópica (0.5-0.6 mm)
- kV reduzido (100-110) para minimizar dose no cristalino
- Reconstruções em MPR (Multiplanar Reconstruction) e 3D
- Algoritmo de alta resolução para avaliação óssea