1. Introdução ao Trânsito Intestinal
O exame de trânsito intestinal do intestino delgado (TID), também conhecido como small bowel follow-through (SBFT), é um estudo radiológico contrastado essencial para avaliar a anatomia, motilidade e integridade da mucosa do intestino delgado. É indicado em casos de suspeita de doença inflamatória intestinal, obstrução, má absorção e dismotilidade.
O contraste mais utilizado é o sulfato de bário, devido à sua baixa absorção sistêmica e excelente aderência mucosa. Em casos de suspeita de perfuração, utiliza-se contraste iodado hidrossolúvel.
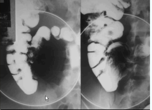
Figura 1: Exame de trânsito intestinal mostrando peristalse e preenchimento do intestino delgado com bário. Fonte: Radiopaedia
2. Anatomia Radiológica do Intestino Delgado
O intestino delgado é dividido em três segmentos:
- Duodeno: localizado retroperitonealmente, em forma de "C", envolve a cabeça do pâncreas.
- Jejuno: ocupa o quadrante superior esquerdo; apresenta pregas circulares (válvulas coniventes) espessas, numerosas e permanentes.
- Íleo: localizado no quadrante inferior direito; pregas mais finas, lúmen mais calibroso e presença de nódulos linfoides agregados (placas de Peyer).
O ponto final do exame é a passagem do contraste pela valva íleo-cecal para o ceco.
Figura 2: Segmentos do intestino delgado visíveis em trânsito intestinal. Fonte: Radiopaedia
3. Técnica do Exame de Trânsito Intestinal
O exame pode ser realizado em duas variantes:
- Trânsito simples: contraste oral seguido de radiografias seriadas.
- Trânsito com duplo contraste: bário + agente gerador de gás para melhor distensão.
Tempo médio de trânsito normal:
- Duodeno: 10-20 min
- Jejuno: 30-60 min
- Íleo terminal: 1-3 horas
- Ceco: 2-4 horas
Atrasos superiores a 4 horas no íleo terminal sugerem obstrução parcial ou doença inflamatória.
4. Técnicas Radiológicas para o Trânsito Intestinal
O sucesso do exame depende da padronização técnica e da documentação adequada.
4.1. Técnica Convencional (Trânsito Simples)
Contraste: Suspensão de bário (200-250% w/v), 300-400 mL via oral.
Série radiográfica:
- 0 min: Abdome simples (pré-contraste)
- 30, 60, 90, 120 min: Radiografias AP (bipedestia ou decúbito)
- Íleo terminal: Incidências oblíquas e perfil
- Confirmação: Imagem com preenchimento do ceco
4.2. Técnica com Duplo Contraste
Usa-se bário de baixa densidade (60-80%) seguido de agente efervescente (ex: 10g bicarbonato + 10g citrato).
Vantagens:
- Superior para detecção de lesões mucosas (Crohn, linfoma)
- Melhor avaliação da arquitetura mucosa
4.3. Posições Radiográficas Recomendadas
| Posição | Objetivo |
|---|---|
| AP Bipedestia | Avaliação geral do trânsito e níveis hidroaéreos |
| AP Decúbito Dorsal | Preenchimento sem efeito gravitacional |
| Obliqua Direita/Esquerda | Desvendar alças sobrepostas (íleo terminal) |
| Perfil (Lateral) | Estudo da valva íleo-cecal e refluxo |
4.4. Critérios de Qualidade da Imagem
- Visualização clara das vértebras lombares
- Inclusão da região epigástrica até inguinal
- Sem movimento ou borramento
- Rotulagem correta (R/L, data, hora)
4.5. Documentação Mínima Obrigatória
- Tempo de chegada ao duodeno, jejuno, íleo e ceco
- Padrão peristáltico (normal, espástico, atônico)
- Presença de defeitos de preenchimento ou estreitamentos
- Imagens da valva íleo-cecal
- Confirmação do trânsito para o ceco
Figura 3: Série com AP, oblíquas e perfil. Fonte: Radiopaedia
5. Principais Patologias Diagnosticadas
Doença de Crohn
Achados: lesões em "salto", estreitamentos ("string sign"), fissuras, "clove sign", plastrão inflamatório.
Obstrução Intestinal
Alças dilatadas (>3 cm), níveis hidroaéreos, atraso no trânsito. Pode ser aderencial, neoplásica ou herniária.
Neoplasias
Linfoma, carcinóide ou adenocarcinoma: defeitos de preenchimento, massas, estenoses excentricas.
Síndrome do Intestino Irritável (SII)
Trânsito acelerado ou espasmos difusos, sem alterações estruturais.
6. Interpretação das Imagens
Avalie:
- Motilidade: velocidade do trânsito
- Preenchimento: uniforme, defeitos, estreitamentos
- Mucosa: erosões, úlceras, granulosidade
- Contorno: irregular, em espinho, em mola
- Posição: volvo, má rotação
Sempre correlacione com achados clínicos e laboratoriais.
Dicas para o Técnico de Radiologia
- Confirme o jejum de 6-8 horas antes do exame.
- Incentive o paciente a caminhar entre as radiografias.
- Use marcadores radiopacos para identificar o tempo de cada imagem.
- Não encerre o exame sem confirmar o trânsito para o ceco.
- Comunique ao radiologista sinais de obstrução precoce.