1. Introdução ao Enema Opaco
O enema opaco, também conhecido como barium enema, é um exame radiológico contrastado utilizado para avaliar a anatomia, contorno e mucosa do intestino grosso (cólon e reto). É especialmente útil no diagnóstico de neoplasias, doenças inflamatórias, obstruções e alterações funcionais.
Pode ser realizado na técnica de duplo contraste (bário + ar) ou contraste único (apenas bário), sendo a primeira a mais utilizada devido à superioridade na visualização da mucosa.
Figura 1: Enema opaco em duplo contraste mostrando haustrações normais e boa distensão do cólon. Fonte: Radiopaedia
2. Indicações e Contraindicações
Indicações
- Sangramento intestinal de origem indeterminada
- Suspeita de câncer de cólon
- Doença inflamatória intestinal (retocolite ulcerativa, doença de Crohn)
- Obstrução colônica
- Alterações funcionais (megacólon, constipação crônica)
- Estudo pós-operatório (ex: anastomoses)
Contraindicações Absolutas
- Suspeita de perfuração intestinal
- Peritonite aguda
- Infarto mesentérico recente
Contraindicações Relativas
- Gravidez (especialmente 1º trimestre)
- Pós-operatório recente de cólon
- Doença cardíaca descompensada
3. Preparo do Paciente
O sucesso do exame depende diretamente da limpeza intestinal adequada.
Protocolo de Preparo (48h antes)
- Dia 1: Dieta líquida (água, chás, gelatinas sem cor vermelha)
- Dia 2 (manhã): Laxante oral (ex: sulfato de magnésio ou PEG)
- Dia 2 (noite): Duas lavagens com água morna ou solução salina
- Dia do exame: Jejum total de 8 horas
Objetivo: Cólon completamente limpo, sem resíduos ou gás residual.
4. Técnica do Enema Opaco
4.1. Tipos de Técnica
| Técnica | Descrição | Vantagens |
|---|---|---|
| Duplo Contraste | Bário seguido de insuflação de ar ou CO₂ | Superior para lesões superficiais (pólipos, úlceras) |
| Contraste Único | Apenas bário, sem ar | Indicado em idosos ou pacientes com dor |
4.2. Materiais Necessários
- Suspensão de sulfato de bário (baixa densidade para duplo contraste)
- Seringa de grande volume (100-150 mL) ou sistema de gotejamento
- Sonda retal de duplo lúmen (com balão)
- Sistema de insuflação de ar (ou CO₂)
- Abdome simples pré e pós-exame
4.3. Etapas do Procedimento
- Paciente em decúbito lateral esquerdo
- Inserção cuidadosa da sonda retal
- Infusão lenta de bário sob fluoroscopia
- Rotacionar o paciente para distribuir o contraste (AP, PA, oblíquas)
- No duplo contraste: insuflar ar e realizar compressão manual com almofada
- Adquirir imagens em múltiplas posições
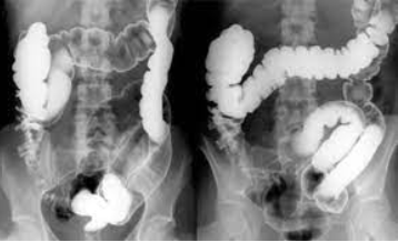
5. Posições Radiográficas e Documentação
Posições Obrigatórias
| Posição | Objetivo |
|---|---|
| AP Abdome | Visualização geral do cólon |
| PA com compressão | Detalhamento da mucosa (duplo contraste) |
| RAO (R. Anterior Oblíqua) | Visualização do cólon ascendente |
| LAO (L. Anterior Oblíqua) | Visualização do cólon descendente |
| Perfil (lateral do reto) | Avaliação de reto e ânus |
Documentação Mínima
- Abdome simples pré-exame
- Imagens em AP, PA, RAO, LAO e perfil
- Compressão manual para detalhamento mucoso
- Abdome simples pós-esvaziamento
- Confirmação de limpeza completa
Figura 2: Série de posições no enema opaco. Fonte: Radiopaedia
Figura 3: Série de posições no enema opaco. Fonte: Radiopaedia
Figura 4: Série de posições no enema opaco. Fonte: Radiopaedia
6. Principais Patologias Diagnosticadas
Câncer de Cólon
Lesão em "margem de buquê", estenose excêntrica, rigidez de parede. Mais comum no reto e cólon sigmoide.
Retocolite Ulcerativa
Acometimento contínuo desde o reto, com perda de haustrações ("cólon em tubo de chumbo"), úlceras em pavimentação e pseudopólipos.
Doença de Crohn (cólon)
Lesões em salto, fissuras, "string sign" colônico, plastrão inflamatório.
Pólipo Adenomatoso
Defeito de preenchimento arredondado, pediculado ou sésil. Exige seguimento ou ressecção.
Diverticulose
Saculações múltiplas, principalmente no sigmoide. Pode evoluir para diverticulite.
7. Interpretação das Imagens
Avalie sistematicamente:
- Calibre: estenoses, dilatações
- Mucosa: úlceras, pólipos, granulosidade
- Haustrações: regulares, aplainadas ou ausentes
- Motilidade: espasmos, hipotonia
- Contorno: irregular, em espinho, em mola
Sempre compare com exames prévios e correlacione com sintomas clínicos.
Figura 5: Série de posições no enema opaco. Fonte: Radiopaedia
Dicas para o Técnico de Radiologia
- Explique o procedimento ao paciente para reduzir ansiedade.
- Infunda o bário lentamente para evitar dor ou espasmos.
- Use compressão suave com almofada para melhorar o revestimento.
- Rotacione o paciente com cuidado para distribuir o contraste.
- Confirme o esvaziamento completo ao final do exame.