← Voltar ao Índice

Aula Detalhada: Uretrocistografia Retrógrada

Um guia aprofundado sobre a avaliação do trato urinário inferior.

Parte 1: Introdução e Conceitos Fundamentais

1.1. O que é a Uretrocistografia?

  • Definição: Exame radiológico contrastado de baixa invasividade que avalia a bexiga urinária e a uretra.
  • Princípio Básico: Instilação retrógrada de meio de contraste iodado através da uretra, preenchendo a bexiga e, durante a micção, visualizando a uretra dinamicamente.
  • Também Conhecido Como: Cistouretrografia Miccional (UCM) ou Cistouretrografia Retrógrada.

1.2. Diferenças Fundamentais da Urografia Excretora

  • UIV: Via antegrada (contraste via sanguínea → rins → ureteres → bexiga).
  • Uretrocistografia: Via retrógrada (contraste via uretral → bexiga → uretra durante o ato miccional).
  • Foco: A Uretrocistografia fornece detalhes superiores da anatomia do trato urinário inferior (bexiga e uretra) que a UIV.

1.3. Indicações Principais

  • Masculina: Investigação de estenoses uretrais, avaliação de trauma uretral, diagnóstico de válvulas de uretra posterior (pediatria), avaliação de divertículos e fístulas.
  • Feminina: Investigação de incontinência urinária de esforço, avaliação de fístulas vesicovaginais, diagnóstico de divertículos uretrais e cistocele.

1.4. Contraindicações e Riscos

  • Contraindicação Absoluta: Infecção do trato urinário (ITU) ativa (risco de sepse).
  • Contraindicações Relativas: Alergia ao contraste iodado, traumatismo uretral agudo com suspeita de ruptura completa.

Parte 2: Anatomia Radiológica Comparada

2.1. A Bexiga Urinária

Órgão muscular oco (músculo detrusor) com contorno liso e regular. A base, ou trígono, é uma área fixa entre os óstios ureterais e o colo vesical.

2.2. A Uretra Masculina (~18-20 cm)

  • Uretra Anterior: Inclui os segmentos peniano e bulbar.
  • Uretra Membranácea: Segmento mais curto e estreito, atravessa o diafragma urogenital e é circundado pelo esfíncter externo. Ponto crítico.
  • Uretra Posterior: Segmento prostático, que atravessa a próstata e contém o Verumontanum.
Anatomia da Uretra Masculina
Diagrama dos segmentos da uretra masculina.

2.3. A Uretra Feminina (~4 cm)

Possui um trajeto curto e reto da bexiga ao meato uretral externo. Sua simplicidade anatômica a torna mais suscetível a certas patologias como ITUs ascendentes.

Anatomia da Uretra Feminina
Diagrama da uretra feminina e sua relação com a bexiga e vagina.

Parte 3: Técnica do Exame e Protocolo

3.1. Preparo e Materiais

Não exige preparo intestinal. O paciente deve esvaziar a bexiga antes de iniciar. Os materiais incluem contraste iodado diluído, sonda uretral (Foley), seringa e equipamento de fluoroscopia.

3.2. Sequência de Imagens Passo a Passo

  1. Cateterismo Uretral: Inserção asséptica da sonda até a bexiga.
  2. Fase de Preenchimento (Cistográfica): Instilação lenta do contraste sob visão fluoroscópica para avaliar o contorno vesical e pesquisar refluxo passivo.
  3. Imagens da Bexiga Cheia: Realização de incidências estáticas em AP, oblíquas e perfil.
  4. Remoção do Cateter.
  5. Fase Miccional (Uretrográfica): A fase mais importante. O paciente urina em posição oblíqua enquanto imagens dinâmicas são capturadas para avaliar a uretra em toda a sua extensão.
  6. Imagem Pós-Miccional: Avalia o resíduo na bexiga.

Parte 4: Interpretação de Imagens e Achados Normais

Na fase miccional, a uretra masculina normal mostra uma abertura ampla do colo vesical, uma uretra prostática dilatada, um estreitamento suave na uretra membranosa e um calibre uniforme nos segmentos bulbar e peniano. A uretra feminina normal é curta, reta e de calibre uniforme.

UCM Normal Masculina e Feminina
Comparativo de imagens da fase miccional em um exame normal masculino (esquerda) e feminino (direita).

Parte 5: Aplicações Clínicas e Achados Patológicos

5.1. Patologias Uretrais Masculinas

  • Estenose Uretral: Estreitamento focal e irregular, com dilatação da uretra a montante.
  • Válvulas de Uretra Posterior (Pediatria): Obstrução que causa dilatação marcante da uretra prostática.

5.2. Patologias Femininas e do Assoalho Pélvico

  • Incontinência de Esforço: Abertura do colo vesical e hipermobilidade uretral ao esforço.
  • Cistocele: Herniação da bexiga para a vagina, vista como um rebaixamento da base vesical.
  • Divertículo Uretral: Bolsa contrastada anexa à uretra.
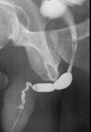
Imagem de Estenose Uretral
Uretrografia mostrando uma estenose severa no segmento da uretra bulbar.
Imagem de Estenose Uretral
Uretrografia mostrando uma estenose severa no segmento da uretra bulbar.
Imagem de Estenose Uretral
Uretrografia mostrando uma estenose severa no segmento da uretra bulbar.
Imagem de Estenose Uretral
Uretrografia mostrando uma estenose severa no segmento da uretra bulbar.
Imagem de Estenose Uretral
Uretrografia mostrando uma estenose severa no segmento da uretra bulbar.

Parte 6: Resumo e Encerramento

A Uretrocistografia é um exame dinâmico insubstituível para a avaliação funcional e morfológica do trato urinário inferior. A compreensão da anatomia distinta entre os sexos e das fases do exame é crucial para um diagnóstico preciso de condições como estenoses, incontinência e anomalias congênitas.